
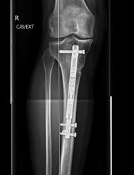
Surgeons in Southampton have used a new procedure which involves extending a metal nail in the shin bone with a remote-controlled magnet to treat early-stage knee arthritis.
Amir Ali Qureshi, a consultant knee and limb reconstruction surgeon at University Hospital Southampton NHS Foundation Trust, has performed intramedullary high tibial osteotomy (IM HTO) on three patients at Southampton General Hospital.
The technique, which involves inserting a nail – or rod – into the tibia and lengthening it externally with a magnet to relieve pressure on the damaged side of the knee, enables clinicians to treat the condition, delaying the need for partial or total replacements of the joint.
Arthritis of the joints is known as osteoarthritis, the most common form of the condition in the UK, and knee osteoarthritis specifically affects more than 4.7 million people. In the most severe cases, it requires total replacement surgery, with around 80,000 carried out in England and Wales every year.
Currently, people with the early stages of the condition – affecting the inner part of the knee – which occurs when cartilage protecting the end of the thigh and shin bones wears out and causes ‘bowing’, have a wedge opened up out of the tibia to straighten the leg and redistribute weight from the affected part of the knee.
During this surgery, a plate is screwed into the tibia to hold it in place and allow a new section of bone to form in the gap over time but, as the plate is fixed during the operation, any adjustments to the angle of the bone requires further surgery.
If the knee is not corrected fully it can lead to symptoms persisting, while overcorrection can cause premature wearing of the unworn side of the knee.
Using the new IM HTO technique, which incorporates the Nuvasive PRECICE OPTY-LINE System, clinicians insert a nail into the bone and slowly extend it using a magnetic connection via remote control to bend the bone into position until it is corrected through extension of the nail and creation of new bone.
The system has been adapted from technology which is already used to treat lower limb length discrepancies caused by fractures and resulting surgery.
"This is potentially a fantastic development in our options for patients with early-stage arthritis of the knee as it enables us to control the amount of opening throughout the course of treatment and can fine-tune as needed," explained Mr Qureshi.
"We are seeing more younger people, from the age of 35 onwards, suffering knee pain and movement problems as a result of arthritis and all that can be done to delay a partial or total knee replacement needs to be done as they could go on to require another two or three repeat operations.
"While standard high tibial osteotomy using a plate enables us to avoid replacement surgery and prolong the life of the joint, the fact it is fixed means any issues with the angle of the bone requires further operations."
Mr Qureshi explained the Nuvasive PRECICE OPTY-LINE System is currently being trialled as part of a European-wide research study to assess both the clinical and cost effectiveness of the procedure – but said he believed it could be particularly beneficial for patients with conditions which cause slow bone healing.
“Expertly done and executed, a plate can and does achieve excellent results too, so a major consideration will be the total cost to the NHS of the new procedure compared to the use of a plate,” he said.
“However, we do know opening the wedge up slowly using the nail allows the bone to ‘keep up’ with the gap being created rather than having to deal with trying to fill a large space.
“This would be especially important in people with conditions which may make them a slow bone healer – the ability to ‘fine tune’ the opening is a significant advantage.”
Posted on Monday 20 February 2017