Treatment
There are several different ways to give radiotherapy. We'll give you detailed information about the type of radiotherapy you're having when you come to the unit, and answer any questions you have.
Radiotherapy is generally given to cure cancer, to relieve your symptoms, or as part of the process of a bone marrow or stem cell transplant.
Curing cancer
We often use radiotherapy to destroy a tumour, and cure cancer. You might be given radiotherapy on its own, or it may be given before or after surgery or chemotherapy.
You'll usually need to come into hospital each weekday for between two and seven weeks. We'll give you a small dose of radiotherapy at each visit. We use small doses to allow healthy cells in the area being treated to recover from any damage that is caused by the radiotherapy, as it damages the cancer cells.
There are three main ways this radiotherapy can be delivered:
- The most common is external beam radiotherapy - you will lie on a couch while a radiation beam is pointed at the affected part of your body using a large machine called a Linac (linear accelerator).
- Internal radiotherapy can be delivered by brachytherapy. Solid radioactive material is placed in your body, close to or inside the tumour. This material might be something that will be removed after a set time, or it might be something that will stay in your body but will lose its radioactivity after a few weeks. We normally use brachytherapy to treat cancer of the cervix, womb, vagina or prostate.
- Another form of internal radiotherapy is radioisotope treatment. A radioactive liquid, most commonly radioactive iodine, is injected into a vein or given to you to drink. We use this to treat tumours of the thyroid gland.
Radiotherapy treatments
Intra-operative electron radiotherapy - IOERT
IOERT delivers a single treatment of high dose ionising radiation to treat the tumour bed. It is delivered during surgery using a mobile linear accelerator (Mobetron) which produces high energy electrons.
We use IOERT to treat various pelvis sites and pancreatic tumours. Head and neck patients will also soon be able to receive it. We're proud to be the first hospital in the UK to treat these sites using IOERT.
Stereotactic ablative radiotherapy - SABR
This is a specialised way of delivering radiotherapy using a small number of precisely targeted treatments to destroy tumours, whilst minimising damage to surrounding tissues. It is suited to patients with small primary cancers that haven't spread.
Our team use SABR to treat lung cancer patients.
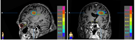
Stereotactic radiosurgery and stereotactic radiotherapy - SRS and SRT
SRS and SRT deliver very high dose radiotherapy with extremely precise margins. This allows you to get the maximum gain from your therapy by treating the tumour effectively, while keeping the effects to surrounding healthy tissue to a minimum.
We're one of 16 centres in the UK to offer this treatment. It's used for patients with small brain tumours, functional abnormalities of the brain and brain metastases.

Deep inspiration breath hold technique (DIBH)
Using DIBH can help to limit the radiation that your heart and lungs are exposed to. The technique involves holding your breath for approximately 20 seconds at a time while your radiotherapy is being delivered (with normal breathing breaks in between treatment beams). The action of holding in a deep breath of air allows your lungs to expand and push your heart away from the treatment area.

Here at UHS it is used to treat left-sided breast cancer but can also be used for those with certain thoracic and abdominal cancers.
Total body irradiation
If you're having a bone marrow or stem cell transplant, you may be given total body irradiation (TBI) as part of your treatment. Radiation is given to your whole body in eight small doses, to destroy the cells of your bone marrow. You will also be given high doses of chemotherapy.
After being treated, you'll be given new bone marrow through a drip to replace the bone marrow that has been destroyed.
Palliative treatment
If we can't cure your cancer, we might give you radiotherapy to relieve your symptoms or help with any pain. This would usually involve lower doses of external radiotherapy, over a shorter period of time.